前歯のブリッジ治療
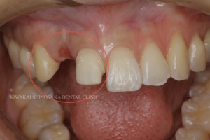
こちらの患者さまは、転倒時に前歯を強打したことで右上2の歯が折れてしまったため、貴和会新大阪歯科診療所へ来院されました。
担当医からは、インプラント1本を欠損部に埋入する治療法か、主訴である右上2の両隣の歯を削り、その上からセラミック素材の被せ物(ジルコニアブリッジ)を装着するといった 2つのプランを患者さまへご提案いたしました。
また詳しく診査・診断を行ったところ、折れてしまった箇所の歯肉が退縮していたため、どちらかの治療を選択されたとしても、歯肉の厚みを増やす【結合組織移植術(CTG)】を行う必要があることもお伝えいたしました。

患者さまとご相談の結果、両隣の健康な歯を削ることにはなりますが、仮歯を装着することができるため、治療期間中の見た目に支障がないことや、インプラント治療と比べて短い期間で治療を終えられることから、セラミックを用いた修復治療(ジルコニアブリッジ)にて進めていく事になりました。
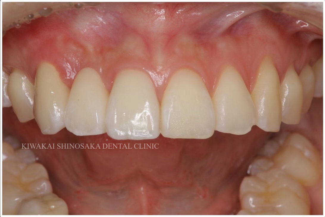
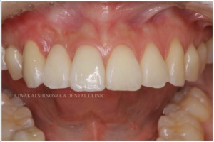
治療前

治療後

まず右上1と3の歯を削った後、作製した右上1・2・3の連なった仮歯を装着しました。

その後、主訴である右上2の歯肉の厚さを増やすため、【結合組織移植手術(CTG)】を行いました。
また、歯茎下りによって右上4・5の歯の根が少し露出しており、滲みるなどの症状がみられましたので、同日に右上4・5への【結合組織移植を併用した根面被覆術】も行いました。

移植する結合組織は上顎から採取します。

約2ヶ月後、手術箇所の生着を確認し、ジルコニアブリッジを作製、装着しました。


装着後は就寝時の歯軋りや食いしばりからブリッジを守るため、ナイトガードの使用をお願いしています。

患者さまにはその後、6ヶ月に1回の定期的なメンテナンスを受けていただいており、良好な状態を維持しています。
修復治療では、装着する歯との適合性が重要です。
被せ物と歯の間に隙間や段差が生じた場合、細菌の塊(歯垢=プラーク)が溜まりやすくなってしまい、「二次虫歯(再発)」を引き起こす恐れがあります。
また、セラミックの被せ物であっても経年劣化によってゆるみ・欠け・すり減りが生じることがあります。放置すると虫歯が再発する恐れがありますが、定期メンテナンスを受けていただくことで早期発見・早期対応が可能です。
セルフケアでは虫歯の再発原因でもある歯垢を全て取り除くことは難しいため、貴和会の歯科衛生士による定期的なプロケアによって、患者さまの口腔内の健康を守るサポートをさせていただいています。
大切な歯を長く健康的に保つため、治療後も継続的なメンテナンスで予防を行いましょう。
| 主訴 | 折れてしまった右上2の治療をお願いしたい。 |
|---|---|
| 治療内容 | 仮歯装着のため、右上1・3の歯を削り、右上1・2・3と連なった仮歯を作製。主訴である右上2には、歯肉の厚みを増やす結合組織移植術を行い、滲みるといった症状が出ていた右上4・5には、露出した歯の根面をカバーする結合組織移植を併用した根面被覆術を行いました。 術後約2ヶ月後に生着を確認後、ジルコニアブリッジを作製、装着しました。 治療後は就寝時の歯軋り・食いしばりからブリッジを守るため、ナイトガードを作製しました。 |
| 患者様の年齢 | 28歳 |
| 患者様の性別 | 女性 |
| 治療期間 | 約5ヶ月 |
| 治療費 | 約65万円
|
| 治療で得られるメリット | インプラント治療に比べて短い期間で治療が行えます。治療期間中は仮歯を使用することができるため、見た目にも支障なくお過ごしいただけます。自由診療となるため一人ひとりに合った最適な被せ物を作ることができます。CTGによって歯肉の厚みを増やすことで、被せ物装着時の審美的な効果や、滲みるといった症状の改善も期待できます。
|
| 治療する際に起こる リスク・副作用 |
削られた歯は虫歯や歯周病の予防が必要になります。ジルコニアブリッジ装着後でも、場合によっては割れたり外れたりすることがあります。喫煙者の患者様の場合、移植した組織が定着しにくいことがあるため禁煙をお願いしています。
|
