インプラントを用いた全額的治療
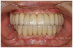
こちらの患者さまは、食事中に上顎の被せ物がすべて外れてしまい、近くの歯科医院を受診されました。
その歯科医院では、虫歯が進行しており、被せ物を元に戻すことは難しいと説明を受けたそうです。
また、治療を行うには「すべての歯を抜歯して総入れ歯にする必要がある」とも言われ、患者さまは不安を感じられました。そこで入れ歯以外の治療法がないかを相談されたところ、インプラント治療を行っている歯科医院として当院を紹介され、貴和会新大阪歯科診療所に来院されました。

当院での治療方針として、上顎の歯はすべて抜歯したうえでインプラントを6本埋入し、最終的にジルコニアブリッジを装着する計画となりました。
しかし、すべての歯を一度に抜歯してしまうと、治療期間中に歯がない状態となり、食事や会話、見た目の面で大きな負担が生じてしまいます。
そこで当院では、最終的に抜歯が必要な歯であっても、一時的に仮歯を支えるためにあえて保存し、治療を段階的に進める方法を選択しました。
治療前

治療後

インプラント埋入の際、骨の厚みや高さが不足している箇所には「GBR(骨誘導再生法)」や「サイナスリフト(上顎洞底拳上術)」を併用して行いました。
「GBR(骨誘導再生法)」とは:インプラントをしっかりと固定するための土台となる骨(歯槽骨)の厚みや高さが足りない場合に、人工骨(骨補填剤)を使って骨を増やすことを目的とした治療法です。【詳細についてはこちら】
「サイナスリフト(上顎洞底拳上術)」とは:主に上顎の奥歯にインプラントを埋入する際、土台となる骨(歯槽骨)が不足している場合に行う外科処置のことを指します。【詳細についてはこちら】
インプラント埋入後、十分な治癒期間が経過しましたら、次は埋め込んだインプラントの頭出しを行います。その際、角化歯肉が不足している箇所には「FGG(遊離歯肉移植術)」を、歯周ポケットが深い箇所には「APF(歯肉弁根尖側移動術)」を行いました。
「FGG(遊離歯肉移植術)」とは:歯周病などで減ってしまった角化歯肉の厚みや幅を増やすために、自身の口蓋(上顎)から角化歯肉を採取して移植する外科処置のことであり、歯根露出の改善や、インプラント周囲の安定化、審美性・清掃性の向上などを目的に行う治療法です。【詳細についてはこちら】
「APF(歯肉弁根尖側移動術)」とは:歯周ポケットが深い部位の歯肉を、歯の根元(根尖側)に移動させて縫合する治療法です。APFにて歯肉の状態を改善させることで、細菌が繁殖しにくい環境を作り、インプラント周囲炎の予防にも繋がります。【詳細についてはこちら】


全ての外科処置を終えた後は、見た目や噛み合わせなどの審美性・適合性を十分に確認したうえで、上顎に12本のジルコニアブリッジを装着しました。
下顎では、左右奥歯のインプラントにセラミックの被せ物を装着し、前歯には根管治療を行った後、8本のジルコニアブリッジを装着しました。

当院の被せ物は、インプラントの感染を防ぐために、ご自身でのセルフケアがしやすいよう清掃性にも考慮して作製しています。
このような被せ物・ブリッジ治療では、装着する歯との適合性が重要です。
被せ物と歯の間に隙間や段差が生じた場合、細菌の塊(歯垢=プラーク)が溜まりやすくなってしまい、「二次虫歯(再発)」を引き起こす恐れがあります。
また、セラミックの被せ物であっても経年劣化によってゆるみ・欠け・すり減りが生じることがあります。放置すると虫歯が再発する恐れがありますが、定期メンテナンスを受けていただくことで早期発見・早期対応が可能です。

こちらの患者さまの治療は2016年に終了し、その後は定期的な検診を受けていただいておりますが、2025年現在も良好な状態を維持されています。(上記画像は2025年に撮影したものです)
セルフケアでは虫歯の再発原因でもある歯垢を全て取り除くことは難しいため、貴和会の歯科衛生士による定期的なプロケアによって、患者さまの口腔内の健康を守るサポートをさせていただいています。
大切な歯を長く健康的に保つため、治療後も継続的なメンテナンスで予防を行いましょう。
| 主訴 | 義歯以外の方法で、全顎的に治していきたい。 |
|---|---|
| 治療内容 | 上顎の残存歯は全て抜歯し、インプラントを6本埋入後、12本のジルコニアブリッジを装着しました。 下顎にはインプラントを3本埋入した後、セラミック素材を使用した被せ物を、既存のインプラント含む4本へ装着しました。前歯は一部根管治療を行った後、8本のジルコニアブリッジを装着しています。 インプラント埋入時、骨の高さ・厚みが足りない部位には、「サイナスリフト」や「GBR」を併用して行いました。 インプラント頭出しの際、角化歯肉が不足していたり、歯周ポケットが深い箇所には、「FGG(遊離歯肉移植術)」や「APF(歯肉弁根尖側移動術)」にて対応しています。 |
| 患者様の年齢 | 61歳 |
| 患者様の性別 | 女性 |
| 治療期間 | 約3年 |
| 治療費 | 治療当時価格:9,400,000円 (原材料の価格高騰のため、一部値上がりしています。) |
| 治療で得られるメリット | 治療期間中は仮歯を使用することができるため、見た目にも支障なくお過ごしいただけます。骨が少ない箇所でも「サイナスリフト」や「GBR」を行うことで、インプラントを埋入することが可能となります。「FGG(遊離歯肉移植術)」や「APF(歯肉弁根尖側移動術)」を行うことで、歯肉の状態を改善させ、インプラント周囲炎のリスク低減が期待できます。自由診療となるため一人ひとりに合った最適な被せ物を作ることが可能です。 |
| 治療する際に起こる リスク・副作用 |
外科処置を伴うため、術後に腫れや痛みが生じることがあります。セラミック素材の被せ物装着後でも、場合によっては割れたり外れたりすることがあります。喫煙者の患者様の場合、移植した組織が定着しにくいことがあるため禁煙をお願いしています。骨粗鬆症の方は、処方されている薬によっては外科処置後の治癒に影響を及ぼす可能性がありますので、かかりつけの医師と相談して治療を進めていきます。 |
