06-6395-8011
初診の患者さま専用
WEB
予約について
MENU
CLOSE
TOP
医院について
貴和会の特長
チーム医療を叶える組織体制
貴和会の歴史
アクセス・設備紹介
初診の方へ(ご予約について)
お問い合わせ・
セカンドオピニオン
お知らせ
症例紹介
治療について
虫歯治療
根管治療
歯周病治療
予防・メインテナンス
口腔外科
矯正歯科
修復・審美治療
インプラント治療
〒532-0003
大阪市淀川区宮原3丁目4-30 ニッセイ新大阪ビル9F
地下鉄御堂筋線新大阪駅 4番出口 徒歩3分
Google Map
06-6395-8011
初診の患者さま専用
WEB
予約について
case
症例紹介
新大阪の歯医者「医療法人貴和会 新大阪歯科診療所」TOP
症例紹介
修復治療
根管治療
歯周外科治療
歯周病治療
症例
症例紹介
症例
2026.02.10
インプラントを用いた全額的治療
修復治療
2025.12.04
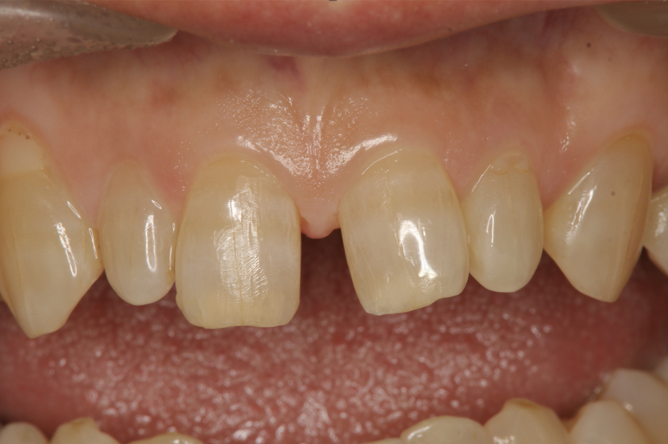
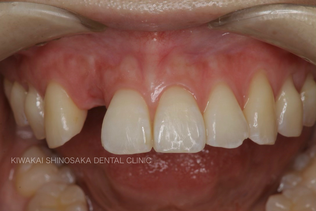
前歯のブリッジ治療
症例
2025.12.02
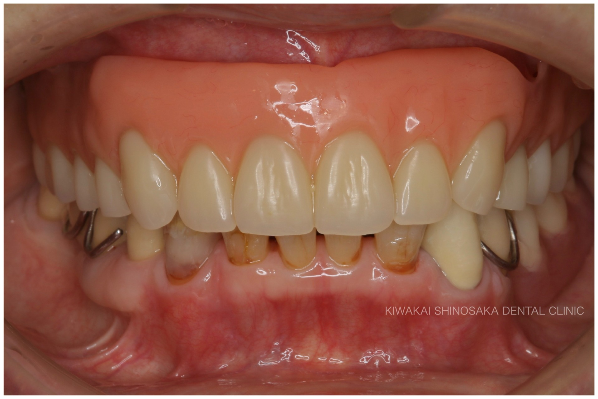
インプラントを用いた義歯治療(インプラントオーバーデンチャー)
修復治療
2025.12.02
セラミック(ジルコニア)を用いた被せ物治療
修復治療
2025.12.02
セラミックインレー
セラミックインレー【奥歯】
症例
2025.12.02
精密で壊れにくいBPS義歯
修復治療
2025.12.01
すきっ歯への治療【ダイレクトボンディング】