すきっ歯への治療【ダイレクトボンディング】|医療法人貴和会 新大阪歯科診療所

case

修復治療

すきっ歯への治療【ダイレクトボンディング】

患者さまは30歳の男性で歯の真ん中に隙間がある歯並び、いわゆる「すきっ歯」がお悩みでした。


このような症例の場合、矯正をお勧めすることが多いですが、患者さまからは「矯正はせず、歯も広範囲に削ることなく治療をお願いしたい。」とのことでしたので、できる限り削らず、プラスチックレジンが歯に接着しやすい環境下の元、理想に近い歯の形を作る『ダイレクトボンディング』にて治療を行いました。


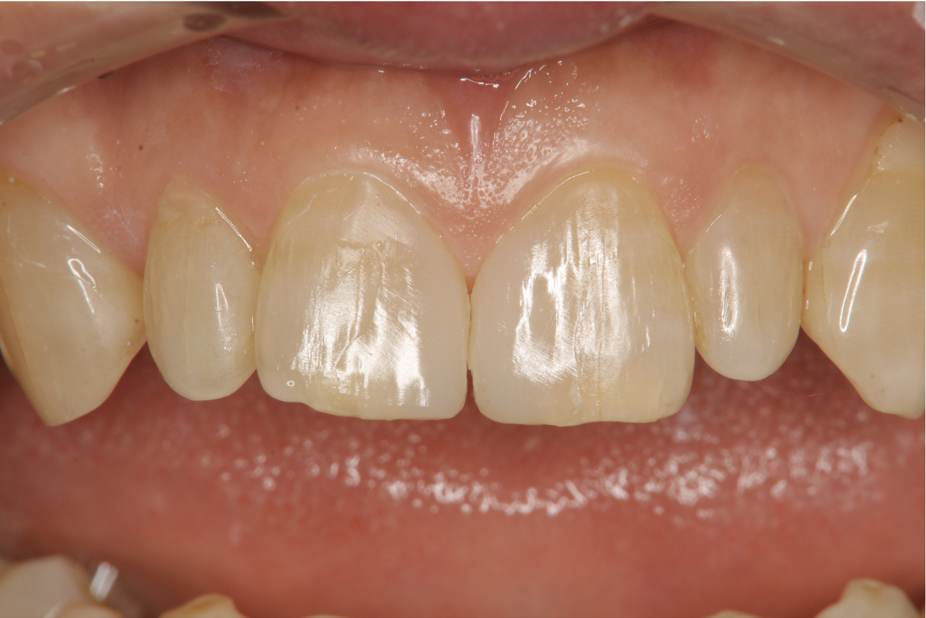
治療前

治療前

治療後

治療後

治療後は前歯の隙間が無くなったことで、見た目はもちろんのこと、飲み物がこぼれにくくなった、喋りやすくなったとのことでした。

現在も治療後の定期的な検診を受けていただいており、異常がないかチェックしています。

※適応可能な部位と条件が限られているため、全ての患者さまがこちらの治療を受けられるわけではありません。適応可能か事前に診査・診断が必要です。(主に上顎前歯部での適応となります)

プラスチック素材のため経年的な着色・変色は起こりますが、ダイレクトボンディングは矯正せずとも健全な歯質をある程度残しながら、審美的な改善が期待できる治療法です。

主訴

審美障害(すきっ歯)

治療内容

修復材料が歯牙と接着しやすいように、防湿された環境を作るため、歯にラバーダムシートと呼ばれるゴム製のマスクをかけて治療を行います。その後、該当箇所に歯科用のコンポジットレジン(複合樹脂素材)を充填し、適正な波長の光で硬化させ、余分な突起や段差などがなくなるまで綺麗に研磨します。

 

患者様の年齢

40歳

患者様の性別

男性

治療期間

2回(治療日と後日に機能面および審美性のチェック)

治療費

1本33,000円×2本

治療で得られるメリット

矯正せずとも健全な歯質をある程度残しながら、審美的な改善が期待できます。

治療する際に起こる
リスク・副作用

歯の状況によっては、ダイレクトボンディングを行えない場合があります。年数が経つと変色することがあります。強い衝撃が加わると、歯と同程度に詰め物が欠けたり割れたりする可能性があります。必ずしもご希望通りの見た目にならない場合があります。

新大阪で受ける精密治療
「医療法人貴和会 
新大阪歯科診療所」

〒532-0003
大阪市淀川区宮原3丁目4-30 ニッセイ新大阪ビル9F
【診療時間】9:00〜13:00 /
14:00〜18:00
【休診日】土曜・日曜・祝祭日