精密で壊れにくいBPS義歯
こちらの患者さまは、上顎の義歯が1ヶ月の間に7回ほど割れてしまうためなんとかしてほしいとのことで、貴和会新大阪歯科診療所担当医へご相談されました。
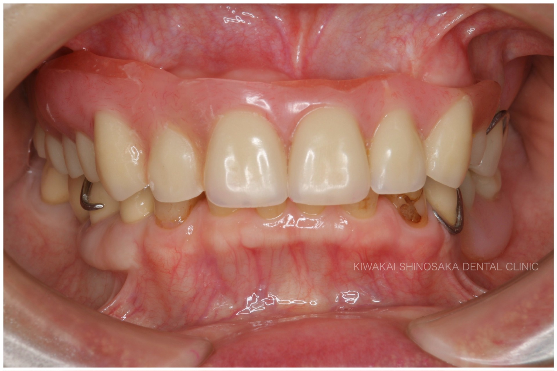
診査・診断の結果、保険内で作製した義歯のプラスチック部分が薄くなっていることと、左上の天然歯1本だけに金具を引っ掛けて支えていたという、非常に不安定な状態のまま義歯を使用されていたため、割れてしまうなどの不具合が頻繁に発生していたことが分かりました。

インプラント治療は希望されず、自由診療による総義歯(BPS義歯)のプランを選択されましたので、壊れにくく、吸着の良い精密技工義歯治療を行いました。
治療前

治療後

総義歯を作製するにあたり、複数の残根歯、特に左上に不都合な高さの歯が残っていることが懸念点でした。


(残根歯とは、虫歯や外傷などによって歯の頭の部分が失われ、歯の根だけが歯茎に残っている状態の歯のことをいいます。)
「できれば歯を抜かずに残したい」という患者さまのご意向にお応えし、抜歯は行わず、義歯に影響しないくらいの高さまで調整するだけにとどめた後、上顎用総義歯を作製いたしました。幸い、他の歯や歯周組織に影響を及ぼすほどの虫歯にはなっていなかったため、残根歯は全て抜かずにそのまま残すことができました。

義歯装着後は痛みもなく、現在までほぼ無調整で約7年間快適にお過ごしいただいています。
保険内の治療では、素材や精度に制限があるため、義歯の適合性に差が生じやすくなりますが、自由診療内での治療であれば、より高い適合性と審美性を重視した義歯の作製が可能となります。精度の良い義歯は痛みや違和感などの変化が起きにくく、安定性が見込めるため、インプラントオーバーデンチャーを希望された際にもご提案させていただいております。
| 主訴 | 上の義歯が壊れないようにしてほしい。 |
|---|---|
| 治療内容 | 義歯をうまく適合させるために、残根歯の高さを調整しました。その後、義歯のおおまかな型取りを行い、患者さまのお口に合ったオーダーメイドのトレーを作製しました。 作製したトレーにて、シリコン印象剤による、患者さまのお口の機能を精密に反映した型取りを行い、最終のイメージを試適していただきました。 そこで審美性や機能性を確認し、最終の義歯に反映させ、完成となります。 |
| 患者様の年齢 | 72歳 |
| 患者様の性別 | 女性 |
| 治療期間 | 約3ヶ月 |
| 治療費 | 約30〜60万円(義歯に使用する素材の差によって変動あり) |
| 治療で得られるメリット | 吸着が得られるため外れにくく、精密で安定性があり、壊れにくい義歯が作製できます。 |
| 治療する際に起こる リスク・副作用 |
自由診療内での治療となるため、保険治療で作製する義歯と比べると高価にはなります。噛み合わせの強さなど、場合によっては義歯が破損する可能性があります。 |
