インプラントを用いた義歯治療(インプラントオーバーデンチャー)
こちらの患者さまは、左上の歯にうずくような痛みがあるとのことで、貴和会新大阪歯科診療所にご来院されました。
詳しく診査・診断した結果、他院で作製された義歯の金具を支えていた歯が破折していたため、義歯装着時に掛かる負荷によって痛みが生じていたことがわかりました。

当初はインプラント3本による、セラミックを用いた固定式の修復治療をご検討いただいていましたが、費用面とご自身の年齢のことを気にされており、治療開始を悩まれておりました。
右上の義歯は問題なく使用できていることから、義歯への抵抗はあまりないとのことでしたので、インプラントを2本に減らしてロケーターアタッチメントによる義歯(インプラントオーバーデンチャー)へのプランをご提案いたしましたところ、そちらを選択されましたので、治療を進めていく事になりました。
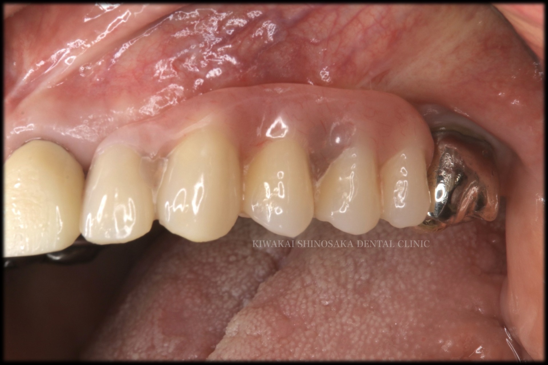
治療前

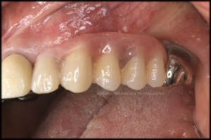
治療後

まず義歯を支えるために、左上3と5の位置にインプラントを埋入する予定で治療を進めていくことになりました。


埋入した後は結合するまでに約3〜4ヶ月の期間を有するのですが、期間中に既存の義歯を使用してしまうと、義歯の構造上、インプラント治療中の部位に影響を与えてしまうため、代わりとして左上1から7まで連結した仮歯を作製しました。
しかし、問題のある歯は仮歯の真ん中に位置しており、この歯を無くしてしまうと連結した仮歯を支える歯が左上1と7だけとなり、間に歯がひとつも無い状態となるため、維持していくのが難しくなることが懸念点でした。

患者さまとご相談の結果、仮歯の維持を優先し、抜歯の前にインプラント2本の埋入から進めることにいたしました。治療箇所の治癒を待った後、インプラントの頭出しの手術を行う際に、主訴である歯(左上4)の抜歯を行いました。
また、左上5ー7上部の角下歯肉が減っていたため、インプラントの頭出しと同じ日に、歯肉移植【FGG(遊離歯肉移植術)】も行いました。


手術部位が生着したのを確認後、インプラント体の上部にロケーターアタッチメントを取り付け、新しく作製した義歯を装着しました。


義歯装着後は、主訴にあった疼痛や違和感はなくなり、快適にお過ごしいただいています。
貴和会歯科診療所のインプラントを用いた義歯治療(インプラントオーバーデンチャー)では、ロケーターアタッチメントによる治療を推奨しています。
治療の流れとしては、まず顎の骨に埋め込んだインプラント体の上部に、「ロケーターアバットメント」と呼ばれる小さな突起(オス部分)を取り付け、一方の義歯の裏側には、その突起にはまる「リテンションインサート」(メス部分)を設置します。
義歯装着時に、これらのオスとメスがボタンのようにカチッとはめ込むことで、通常の義歯よりも外れにくく、安定性が高いのがこの治療の特徴です。
固定式のものに比べると、義歯が割れるリスクやインプラントと義歯の間に介在させるゴムの定期的な交換が必要にはなりますが、固定式のものよりも安価で、義歯の範囲も小さくできるという利点があります。
| 主訴 | 左上の歯の痛みおよび義歯装着時の違和感。 |
|---|---|
| 治療内容 | 治療期間中に使用いただくための、左上1−7まで連なった仮歯を作製。 左上3と5にインプラントを埋入後、約3〜4ヶ月後に主訴の歯(左上4)を抜歯。インプラント頭出しと歯肉移植手術も同日に行いました。 インプラントが結合したのを確認後、左上1と7は保険診療の被せ物にて治療し、新たに作製した左上2ー6の義歯を、ロケーターアタッチメントを用いて装着しました。 |
| 患者様の年齢 | 70歳 |
| 患者様の性別 | 女性 |
| 治療期間 | 約8ヶ月 |
| 治療費 | 約80万円 |
| 治療で得られるメリット | 義歯の範囲を小さくすることができます。インプラントによって支持や維持が得られるため痛みが出にくく外れにくい。 |
| 治療する際に起こる リスク・副作用 |
外科処置が必要になります。稀にインプラントが骨に結合しないことがあります。義歯が割れたりすることがあります。状況によってインプラントと義歯をつなぐゴムの交換が別途必要になります。外科処置後、痛みや違和感、出血、腫れなどが出る事があります。FGGは喫煙者の患者様の場合、移植した組織が定着しにくいことがあるため禁煙をお願いしています。 |
